MENU
電話:0795-82-8281
トップページ
院長・スタッフ
初めての方へ
クリニック紹介
診療内容
むし歯の治療
歯周病の治療
予防歯科
小児のむし歯予防
小児の筋機能療法(MFT)
訪問口腔ケア
ホワイトニング
歯列矯正(主に成人)
入れ歯
親知らずの抜歯
顎関節症
地図・診療時間
ブログ
就寝前の健康習慣★
BLOG
トップページ
>
ブログ
>
生活習慣
>
就寝前の健康習慣★
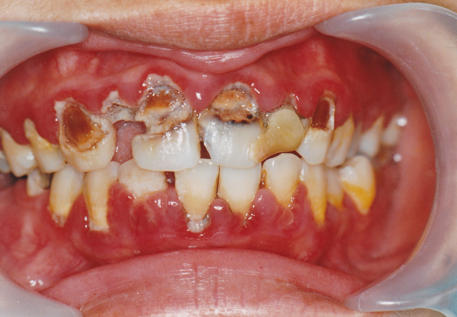
こんにちは。就寝直前に健康のために黒酢やリンゴ酢を飲まれる方がいらっしゃると思うのですが、
できましたら食前酒のように夕食の中に含めましょう。
酢は強い酸なので歯を溶かします。特に寝る前にお口にされるとお口の中のPHが下がったままで
歯は一番弱い歯頸部(歯茎の近く〉から崩壊してゆきます。体には良いことが行うタイミングを間違うと
歯の不健康をまねきますのでご注意を! あせい歯科 院長 阿瀬井宏成
カテゴリー :
生活習慣
投稿日 :2014年1月10日
前の記事へ
次の記事へ