歯の白濁って?
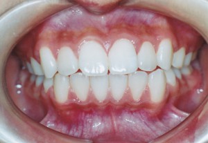
前回に引き続き甘食習慣による歯の変化をご覧ください。
甘食習慣のない歯の表面は硬くてガラス状です。光沢があります。
飴やスポーツドリンクなどを習慣的に摂取される方は歯の一番弱い歯茎の近くから白濁し、表面がすりガラス状になり着色しやすくなりますのでご注意ください。
あせい歯科 院長 阿瀬井宏成
投稿日:2014年4月19日 カテゴリー:小児予防歯科, 生活習慣
前回に引き続き甘食習慣による歯の変化をご覧ください。
甘食習慣のない歯の表面は硬くてガラス状です。光沢があります。
飴やスポーツドリンクなどを習慣的に摂取される方は歯の一番弱い歯茎の近くから白濁し、表面がすりガラス状になり着色しやすくなりますのでご注意ください。
あせい歯科 院長 阿瀬井宏成
投稿日:2014年4月19日 カテゴリー:小児予防歯科, 生活習慣