健康習慣に御注意ください♥

虫歯で来院された患者さんとお話をしていると、健康になるためにされていることが反対に歯に悪影響を及ぼしていることに気付かれる事が多々あります。
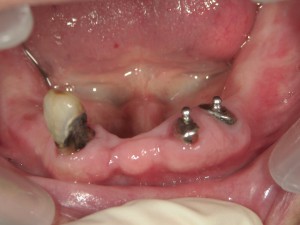
お通じをよくするために寝る前に必ず乳酸菌飲料を飲まれる方、免疫力をつける為に寝る前に黒酢、薬草酒、リンゴ酢を飲んでお休みされる方、梅ジュースや紫蘇ジュースをお茶代わりにのまれる方、いろいろ健康のために考えられているようですね。
しかしお口にされるタイミング、頻度によって反対に虫歯を作ってしまいます。
寝る直前でなく夕食の食前酒としてお飲みになられる事をおすすめ致します。
左のように歯茎の近くが酸蝕されますのでご注意くださいね♥
歯科衛生士 小山
投稿日:2014年3月22日 カテゴリー:生活習慣, 虫歯, 高齢者口腔ケア