MENU

永久歯虫歯ゼロ達成しよう★

BLOG

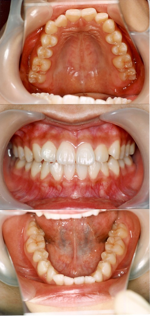
こんにちは、今回は7月からの子供医療費助成事業で中学3年生まで拡大されることに先立ち当院で行っている
シーラントついて説明いたします。小学1年生になると6歳臼歯が生えてきますが上の写真のように生えて間もない頃
にフッ素除放性のシーラント(コ―キングのようなものです)を歯の溝に塗り固めることで虫歯になりにくくすることができます。もちろん12歳臼歯も行います。上記の虫歯ゼロの写真の奥歯(6,12臼歯共)にもシーラントのピンク色をご確認して頂けると思います。詳しくはHP予防歯科をご覧になってください★   あせい

カテゴリー : 小児予防歯科

投稿日 :2013年5月16日

 
オプション:追尾バナー